English
当前位置: 首页> 新闻动态> 医院新闻> 正文

    (通讯员 郑继川)股骨骨折在小儿骨折中是常见但又比较棘手的长骨骨折类型。按以往常规疗法有保守治疗和手术治疗,年龄小于6个月的婴儿股骨干骨折可使用Pavlik吊带或髋人字石膏;年龄大于6个月至5岁的患儿股骨干骨折,则使用垂直皮牵引或髋人字石膏固定;年龄大于11岁的患儿股骨干骨折,使用骨牵引或切开复位钢板内固定。保守治疗无论是垂直皮牵引还是骨牵引,治疗时间都较长,患儿辛苦,陪护的家长更辛苦,而且患儿哭闹的过程中往往导致初步愈合的骨折再次移位,这又延长了固定的时间。时间一长,肌肉萎缩,关节僵硬,有的患儿就算骨折愈合后还是遗留步态异常的不良后果。而传统的手术治疗,因为使用钢板复位,所以需要长切口,术中出血多,术后遗留极长的手术疤痕,并且二次手术取出钢板时还需怎么长的切口,这对发育期的小儿来说都蒙受身心的伤痛。

    长期的皮牵引,无论对患儿还是家长,都是万分痛苦的事

 

    而弹性髓内针的出现解决了以上两种治疗的弊端,即解决了长期卧床卧床带来的不良后果,术后又无需留下长的手术疤痕。弹性髓内针采取微创穿针,经骨髓穿入髓内针后,多在闭合复位的情况下,通过髓内针的作用将骨折固定。它的优势是微创手术,术中切口小,两侧仅需要2cm切口,术中出血小,手术时间短,术后二期取出时仍是原小切口,术后遗留手术疤痕小。

  

术中切口

 

术中穿入弹性髓内针

 

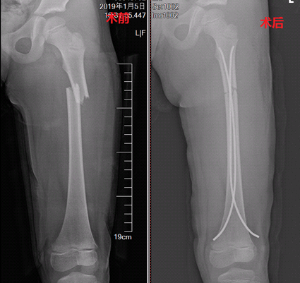
    2019年1月8日,我院骨科首例弹性髓内针技术项目应用于一位5岁股骨骨折患儿,整个手术时间仅40分钟;术中出血少,仅10ml。即减少了患儿及家属长期牵引带来的痛苦,又避免了患者术后遗留长的手术疤痕。术后家长对我们的工作十分满意,而患儿的笑声更是对我们努力最大的认同。

    随着弹性髓内针技术项目的日益成熟,必将成为更多股骨骨折患友接受的首选疗法。

 

 

术前术后对比照片

上一篇:谢岗医院胸腔镜手术项目取得重大进展

下一篇:CT引导下经皮肺穿刺活检新技术在谢岗医院成熟应用